Baixa crescimento Pneumonia Vacinação

Casos de pneumonia disparam em SP e especialistas alertam: baixa vacinação impulsiona avanço da doença

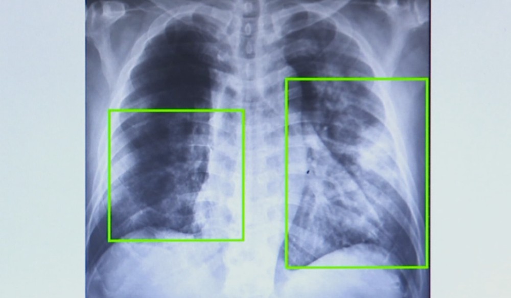
Os casos de pneumonia têm crescido de maneira acelerada em todo o estado de São Paulo, pressionando a rede pública de saúde e acendendo um alerta entre profissionais da área. Apenas entre janeiro e agosto deste ano, a Secretaria Estadual da Saúde contabilizou 202.357 atendimentos por pneumonia, número que representa um aumento de 20% em comparação ao mesmo período do ano anterior, quando foram registrados 167.263 casos. O avanço ocorre em ritmo mais intenso em diversas regiões, como Campinas, onde o total de atendimentos chegou a dobrar, e Piracicaba, que também apresentou crescimento expressivo de 20%.

Diante desse cenário de avanço consistente, médicos reforçam a importância da vacinação, apontada como uma das medidas mais eficazes para conter novas infecções e, principalmente, evitar complicações graves. Segundo especialistas, a combinação entre a circulação de diferentes vírus respiratórios e a queda na cobertura vacinal observada nos últimos anos tem sido determinante para o aumento das ocorrências.

O pneumologista Rodrigo Athanazio explica que tanto as pneumonias bacterianas quanto as virais seguem em expansão. Ele destaca que infecções virais mal controladas podem facilitar a entrada de bactérias no organismo, agravando quadros inicialmente mais leves.
“A gente está acostumado a falar da pneumonia bacteriana, que é muito frequente, mas a viral também ocorre. Frente a isso, a vacinação é muito importante. Primeiro para prevenir, e segundo porque uma das principais causas de pneumonia bacteriana é o quadro viral que desregula nosso sistema e permite que uma bactéria penetre em seguida”, afirma.

A vacina pneumocócica, que protege contra a doença, está disponível gratuitamente pelo SUS e pode ser encontrada em todas as Unidades Básicas de Saúde (UBSs) do estado. Embora simples, a imunização é apontada como essencial para reduzir internações, quadros graves e mortes — especialmente entre idosos, crianças e pessoas com comorbidades.

Athanazio lembra que a pneumonia continua figurando entre as principais causas de morte no planeta e alerta que a baixa adesão às campanhas de vacinação contribui para o cenário atual.
“Infelizmente, a gente vem aumentando esse número de casos ano após ano. Isso acaba tendo uma associação direta com a queda das taxas de vacinação que temos observado nos últimos anos”, ressalta.

Para reforçar o atendimento e facilitar o acesso à vacina, a Prefeitura de São Paulo informou que todas as AMAs e UBSs Integradas estarão funcionando normalmente nesta sexta-feira (21). Moradores que desejem se imunizar podem procurar qualquer uma dessas unidades ao longo do dia.